Contact us to order
Tel
+1 866.986.9598
AFFINITY BIOSCIENCES LTD
view supplier detailsCredit card payments now incur a 3% fee.
Loading ....
AFFINITY BIOSCIENCES LTD
view supplier detailsCredit card payments now incur a 3% fee.
| Mfr.No. | AF3345 |
| Alternative Names | EC 2.7.11.1 ; LIM domain kinase 1 ; LIM motif-containing protein kinase ; LIMK ; LIMK-1 ; limk1 ; LIMK1_HUMAN ; |
| Categories | Primary Antibodies ; Phospho Antibodies |
| Clonality | polyclonal |
| Description | There are approximately 40 known eukaryotic LIM proteins, so named for the LIM domains they contain. LIM domains are highly conserved cysteine-rich structures containing 2 zinc fingers. Although zinc fingers usually function by binding to DNA or RNA, the LIM motif probably mediates protein-protein interactions. LIM kinase-1 and LIM kinase-2 belong to a small subfamily with a unique combination of 2 N-terminal LIM motifs and a C-terminal protein kinase domain. LIMK1 is likely to be a component of an intracellular signaling pathway and may be involved in brain development. LIMK1 hemizygosity is implicated in the impaired visuospatial constructive cognition of Williams syndrome. Two splice variant have been identified. |
| Immunogen | A synthesized peptide derived from human LIMK1 around the phosphorylation site of Threonine 508. |
| Molecular Weight |
Observed Mol.Wt.: 70kDa. Predicted Mol.Wt.: 73kDa. |
| Reactivity | Rat, Mouse, Human |
| Specificity | Phospho-LIMK1 (Thr508) Antibody detects endogenous levels of LIMK1 only when phosphorylated at Threonine 508. |
| Subcellular Location | Cytoplasm. Cell projection > growth cone. |
| Antigen | Phospho-LIMK1 (Thr508) | |||||||||||||||||||||||||||||||||||||||||||||||||||||||||||||||||||||||||||||||||||||||||||||||||||||||||||||||||||||||||||||||||
| Uniprot | P53667 | |||||||||||||||||||||||||||||||||||||||||||||||||||||||||||||||||||||||||||||||||||||||||||||||||||||||||||||||||||||||||||||||||
| Gene Id | 3984 | |||||||||||||||||||||||||||||||||||||||||||||||||||||||||||||||||||||||||||||||||||||||||||||||||||||||||||||||||||||||||||||||||
| Sequence |
|
| Concentration | 1mg/ml |
| Format | Liquid |
| Purification | The antibody is from purified rabbit serum by affinity purification via sequential chromatography on phospho- and non-phospho-peptide affinity columns. |
| Storage Condition | Rabbit IgG in phosphate buffered saline , pH 7.4, 150mM NaCl, 0.02% sodium azide and 50% glycerol.Store at -20 °C.Stable for 12 months from date of receipt. |
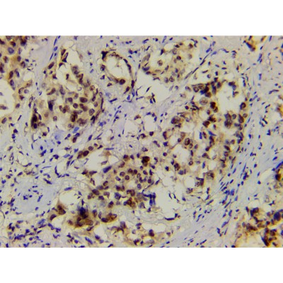
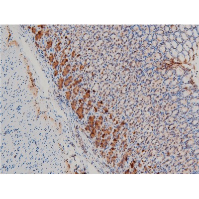
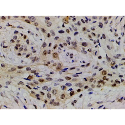
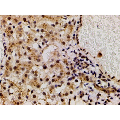
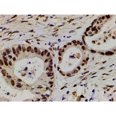
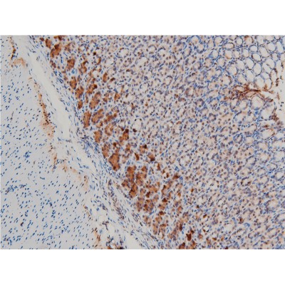
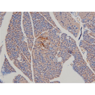
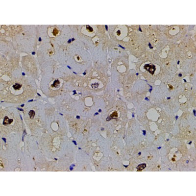
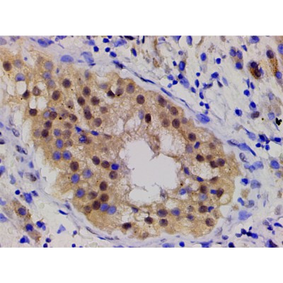
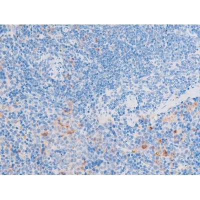
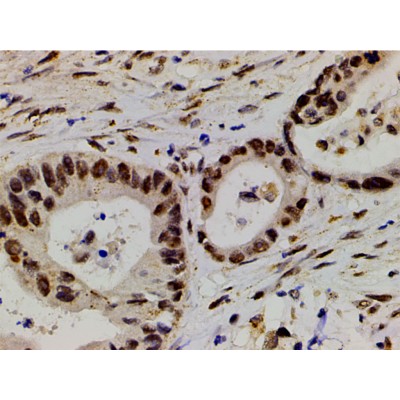
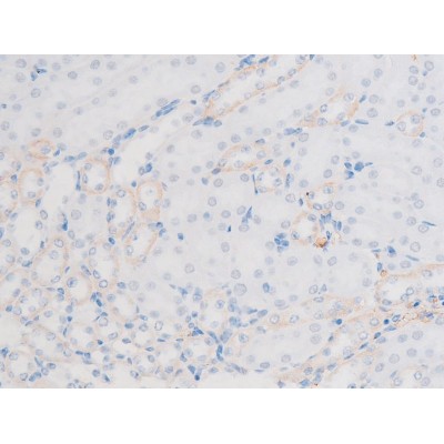
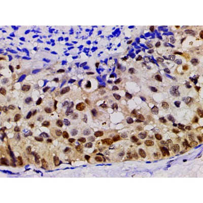
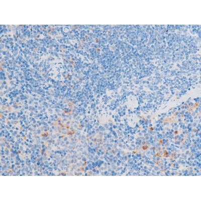
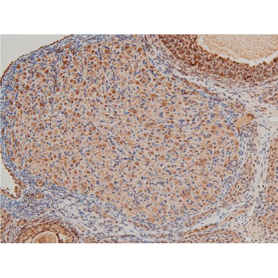
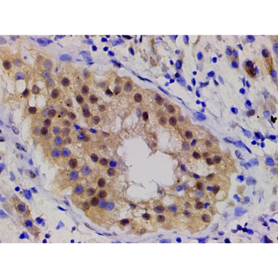
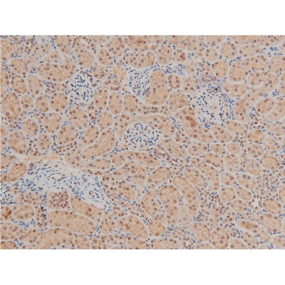
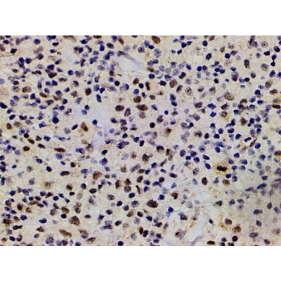
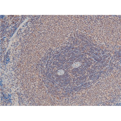
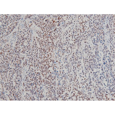
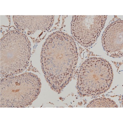
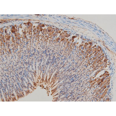
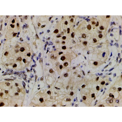
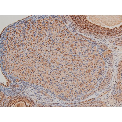
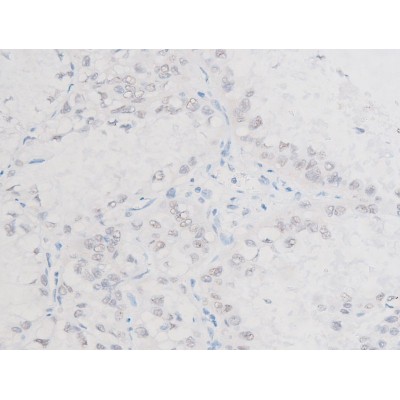
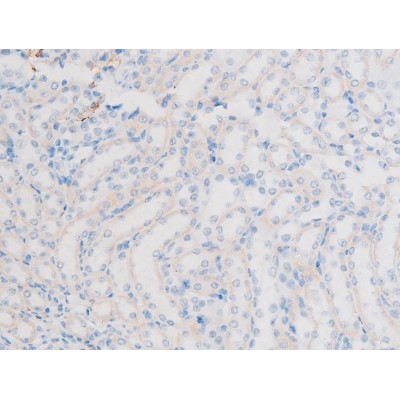
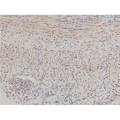
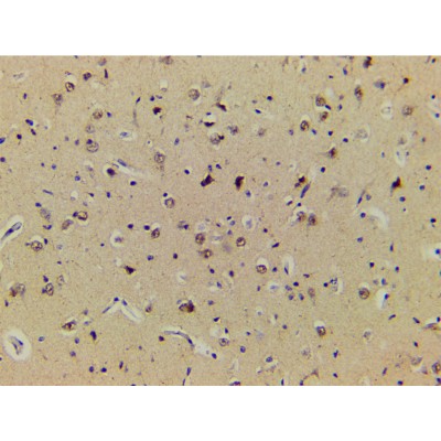
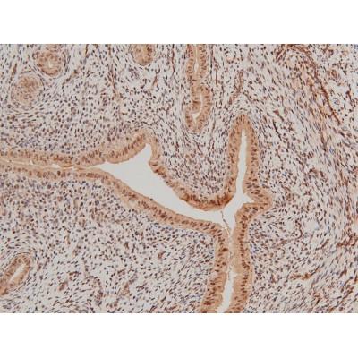
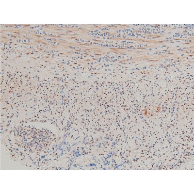
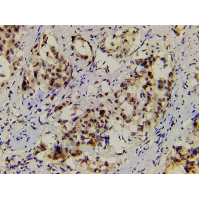
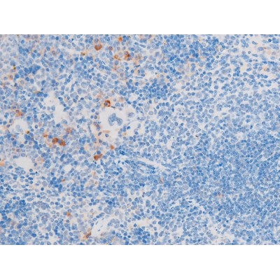
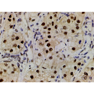
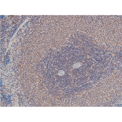
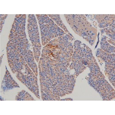
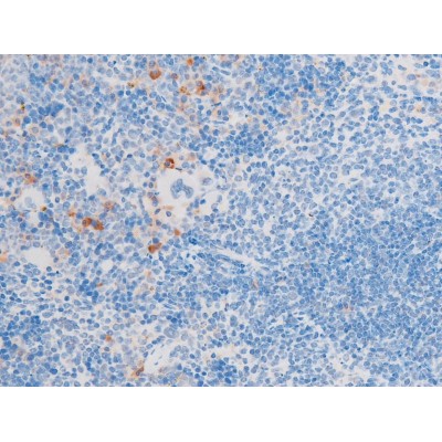
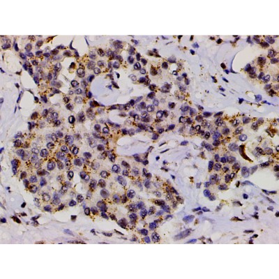
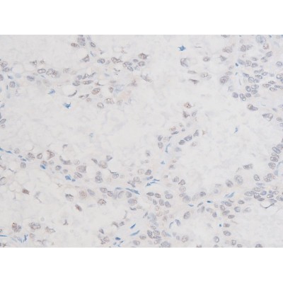
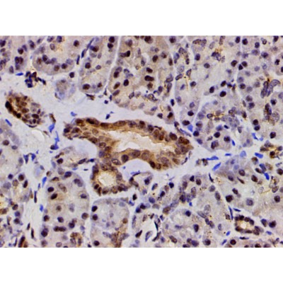
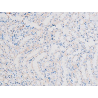
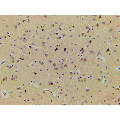
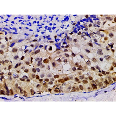
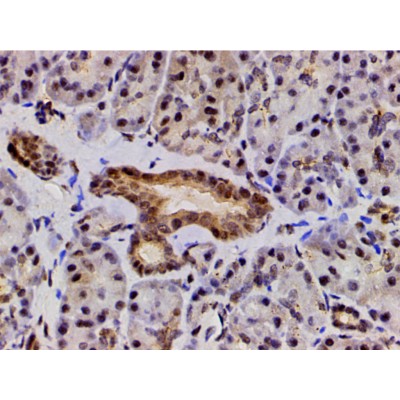
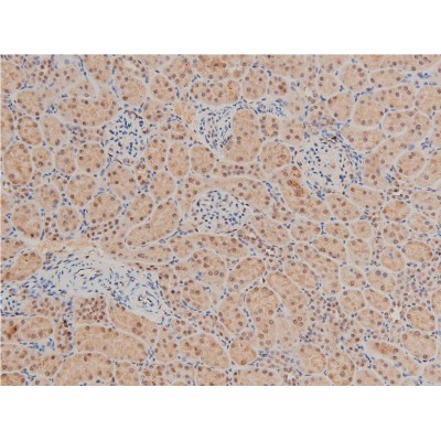
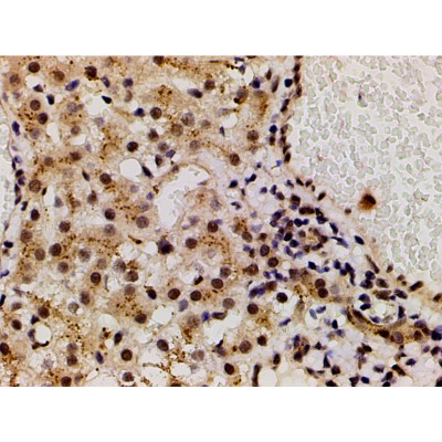
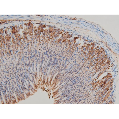
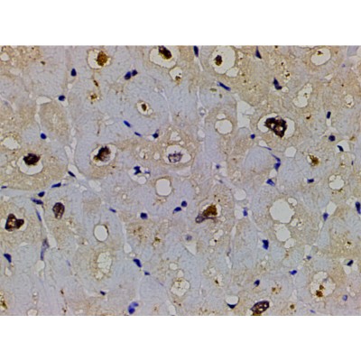
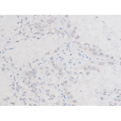
| Applications | IF/ICC, WB, IHC, ELISA |
| Dilution | WB 1:500-1:2000 IHC 1:50-1:200 ICC/IF 1:100-500, ELISA(peptide) 1:20000-1:40000 |
Have you used this product?
| SKU | Supplier No. | Size | Your price | Quantity | |
|---|---|---|---|---|---|
| BHA12903771 | AF3345 | 100ul | $280 |
|
Add to Cart |
| BHA12903771 | AF3345 | 200ul | $350 |
|
Add to Cart |
