JavaScript is currently not supported/disabled by this browser. Please enable JavaScript for full functionality.
Loding Loading ....

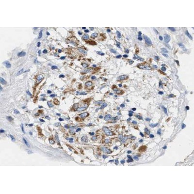
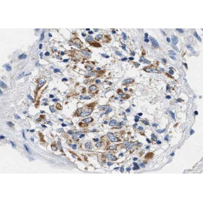
Phospho-BCL-XL (Ser62) Antibody

BHA12900335
Contact us to order
Tel
+1 866.986.9598
Order Now

Credit card payments now incur a 3% fee.

Contact us to order
Tel
+1 866.986.9598