Contact us to order
Tel
+1 866.986.9598
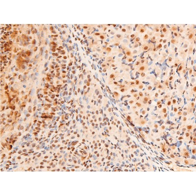
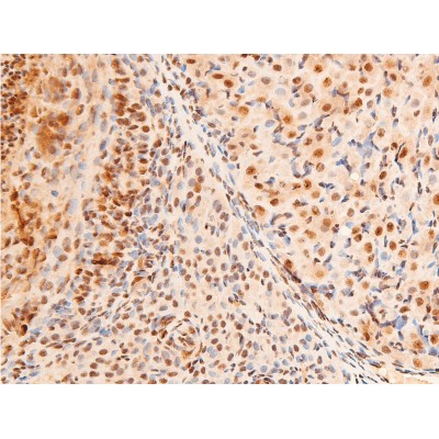
AFFINITY BIOSCIENCES LTD
view supplier detailsCredit card payments now incur a 3% fee.
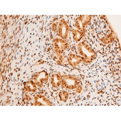
AFFINITY BIOSCIENCES LTD
view supplier detailsCredit card payments now incur a 3% fee.
| SKU | Supplier No. | Size | Your price | Quantity | |
|---|---|---|---|---|---|
| BHA12900667 | AF3092 | 100ul | $280 |
|
Add to Cart |
| BHA12900667 | AF3092 | 200ul | $350 |
|
Add to Cart |