JavaScript is currently not supported/disabled by this browser. Please enable JavaScript for full functionality.
Loding Loading ....

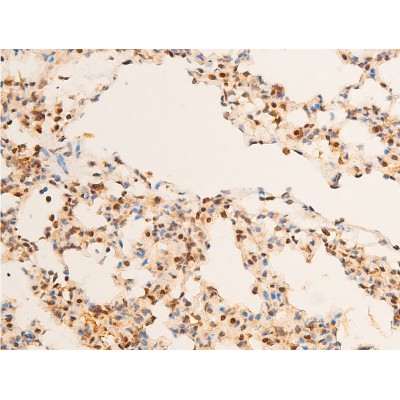
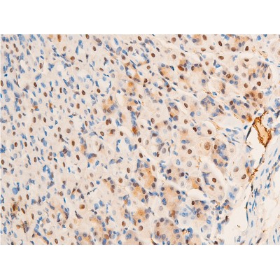
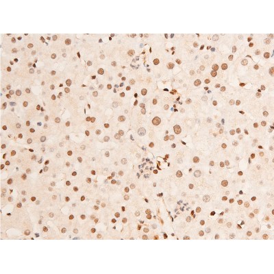
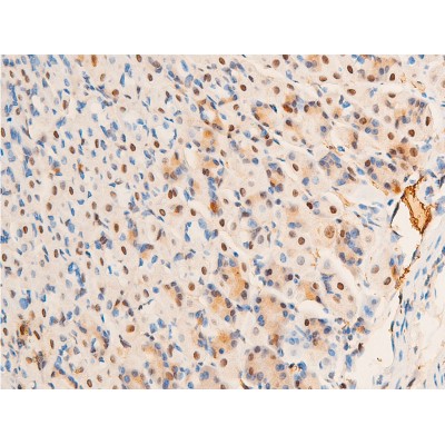
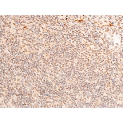
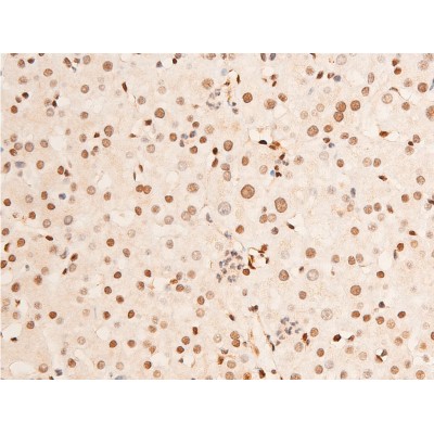
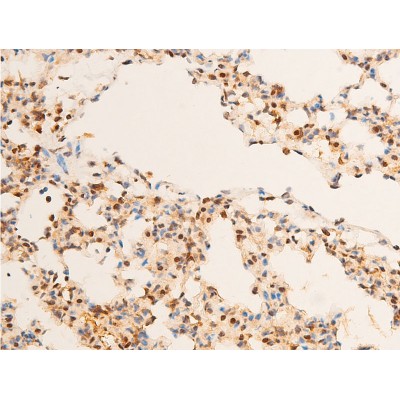
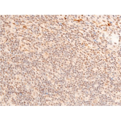
Phospho-c-Jun (Thr93) Antibody

BHA12902258
Contact us to order
Tel
+1 866.986.9598
Order Now

Credit card payments now incur a 3% fee.

Contact us to order
Tel
+1 866.986.9598